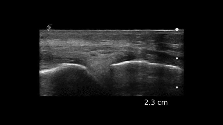
Quickly and confidently identify Achilles tendon rupture and/or tendinopathy at its insertion or mid-span or identify tears of the gastrocnemius muscle.
Dr. Oron Frenkel, MD
Products Used
More Classes
Request a Quote
With 8 scanners available, we offer a wireless ultrasound solution tailored to your needs. Request a quote to discover which scanner can deliver the best ultrasound imaging for your practice.
⚠️ Clarius ultrasound is for medical professionals only.
By providing my email, I consent to receive Clarius webinar invitations, case studies, whitepapers, and more, and I consent to the Clarius Privacy Policy. I can unsubscribe anytime.
