Optimized Imaging for Critical, Emergency, and Primary Care

Optimized Imaging for Critical, Emergency, and Primary Care
Included with Membership (3305 CAD Value)
Included with Membership (2500 USD Value)
Included with Membership
Included with Membership
Included with Membership (3900 AUD Value)






Explore the Advanced Features available with your Membership to foster collaboration and streamline your workflows.






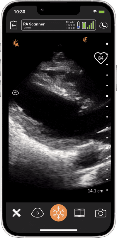
Go hands-free by asking your scanner to freeze, adjust depth and gain, capture images and videos, and more!
Share your exam with a colleague in real time with one-click telemedicine.
Share a completed exam with a colleague from the App or Clarius Cloud.
Measure and visualize key flow information through a simple and intuitive interface.
Record full-length procedures for documentation purposes.
Add convenience through the ability to display both long and short axis or compare left and right anatomy.

It’s super portable, it’s super small, it’s wireless, it sits in my pocket. I can pull it out and switch between a linear and a phased probe with just a button. It saves me a bunch of time.

The thing that’s most remarkable to me about the Clarius Ultrasound primarily is the image quality. I find that it’s comparable to most of the carts that I trained on.

The new PAL HD3 scanner is a big breakthrough. Integrating both the phased and linear array means you only have to carry one transducer around for 95 to 99% of the studies at the bedside.

When ultrasound is in your lab coat and you can pull it out of your pocket and you can take your phone out and suddenly get this great exam, you’ll just find you’re using it a lot more

Many physicians think it’s a fantasy to be able to walk up to a patient and immediately look inside them and know what’s wrong with them. But it’s not a fantasy. That’s exactly what ultrasound technology does today.
Point of Care ultrasound is an amazing tool that brings diagnostic imaging into the hands of physicians.

We are so pleased with the new portable ultrasound and with how much more convenient and efficient it has already made our daily work.

Image quality lends itself to improve confidence at the point-of-care and enables the technology to spread into wider realms and empower novice users.

Point of care ultrasound is becoming one of the most sensitive finders of Covid pneumonia

Members gain access to all advanced innovation and services for the ultimate scanning experience and to fast track ultrasound mastery.
Take advantage of exclusive AI-powered tools to automate workflows, specialty software to optimize imaging, unlimited storage options, and educational resources to accelerate proficiency. Explore the four pillars of Membership.
Powered by AI with specialized presets and customizable workflows, Clarius HD3 automatically optimizes imaging to deliver a superior ultrasound scanning experience. With 8 scanners, we have a wireless ultrasound solution that’s perfect for you. Book a virtual demo with our experts to learn which scanner can deliver the best ultrasound imaging for your practice.
⚠️ Clarius ultrasound is for medical professionals only.
By providing my email, I consent to receive Clarius webinar invitations, case studies, whitepapers, and more, and I consent to the Clarius Privacy Policy. I can unsubscribe anytime.

Whether you’re looking for a specific solution or need help finding the right scanner for your practice, we’re here to help. Get in touch with us and let’s get started!
Whether you’re looking for a specific solution or need help finding the right scanner for your practice, we’re here to help. Get in touch with us and let’s get started!
By providing my email, I consent to receive Clarius webinar invitations, case studies, whitepapers, and more, and I consent to the Clarius Privacy Policy. I can unsubscribe anytime.