The software has continued to improve and really puts to shame what’s available on some of the other laptop machines.

Unlock the Power of AI for Enhanced MSK Ultrasound Workflow
⚠️ Clarius is for medical professionals only and MSK AI is currently only available in select regions.
I consent to receive Clarius webinar invitations, video tutorials, and more by email. I can unsubscribe anytime. Privacy Policy.
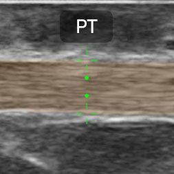
The new Clarius MSK AI features advanced artificial intelligence technology designed to identify, measure, and label key anatomical structures in real-time, providing accurate and reliable ultrasound information to clinicians. This not only speeds up workflows, but also boosts confidence in diagnosis and treatment plans. By outputting probabilities for each pixel within the image, the AI determines the particular tendon visible, allowing for quick and accurate assessments. Additionally, the AI makes it a valuable tool for training, allowing less experienced clinicians to learn and improve their diagnostic abilities with ease.
MSK AI identifies, measures, and labels key anatomic structures, starting with the patellar tendon, Achilles tendon, and plantar fascia using AI technology. Exclusively for Clarius members, the feature is designed to assist with musculoskeletal (MSK) scanning for specific anatomical sites, including the foot, ankle, and knee. With the colored overlay and automatically-placed calipers, it’s easier for novice users to learn ultrasound anatomy, and more efficient for experienced clinicians to conduct comparative and serial studies where consistent measurements of tendons are critical.


Automatically highlights the tendon, with adjustable opacity

Automatically measures the thickest width of the tendon

Labels the Patellar tendon, Achilles, and plantar fascia

Experience the future of musculoskeletal ultrasound with the world’s first FDA-cleared AI tool. Clarius has taken a major leap forward with the introduction of the new MSK AI feature, which has received 510(k) clearance from the FDA and is available today only in the USA. MSK AI makes it easier and faster for physiotherapists, orthopedic surgeons, pain management experts, and other clinicians to deliver patient care, by streamlining workflows, standardizing measurements, and supporting more accurate diagnoses.
The software has continued to improve and really puts to shame what’s available on some of the other laptop machines.

Enjoyed learning about this machine and overall very impressed with the image quality for the price. Great connectivity and image sharing options.

I’m amazed by how intuitive it is to use. You don’t have to memorize buttons.

Working without wires is slick. It’s easy to keep the transducer clean and you don’t have to worry about infections from cords draping across the patient.

The best thing about the Clarius is it’s pretty simple and very mobile, so I can use it in different areas.

Clinicians in sports medicine and physical therapy should be equipped with a Clarius given its price point. Immediate access to ultrasound imaging helps reaffirm the primary assessment, improving clinical decisions.

The image quality is fantastic. The linear scanner is on par with compact systems, no question.

“The new AI from Clarius is a ground-breaking technology that will help with the education of new users to identify MSK structures. With the AI standardization of measurements, interobserver reliability problems will now be non-existent.“

What I was most blown away by was actually the new color Doppler feature. In addition to the actual quality of the image, you’re getting it wirelessly. It’s on par with any corded device I have.

The new Clarius HD3 is almost like a traditional cart-based probe without the wire and the cart. If you put it behind the iPhone, you literally can’t see it.

Investing in Clarius is a no-brainer because the payoff for Clarius is fast. You’re paying under 5000 USD compared to laptop machines with comparable image quality that are in the 25,000 to 35,000 USD range.

The portability and image quality of the L15 HD made it an easy decision. One of the other factors for my purchase was the excellent cloud-based database, workflow and reporting functions with Clarius.

Whether you’re looking for a specific solution or need help finding the right scanner for your practice, we’re here to help. Get in touch with us and let’s get started!