
High-definition ultrasound to diagnose injuries, guide procedures, and deliver confident care – without the wait.
High-definition ultrasound to diagnose injuries, guide procedures, and deliver confident care – without the wait.
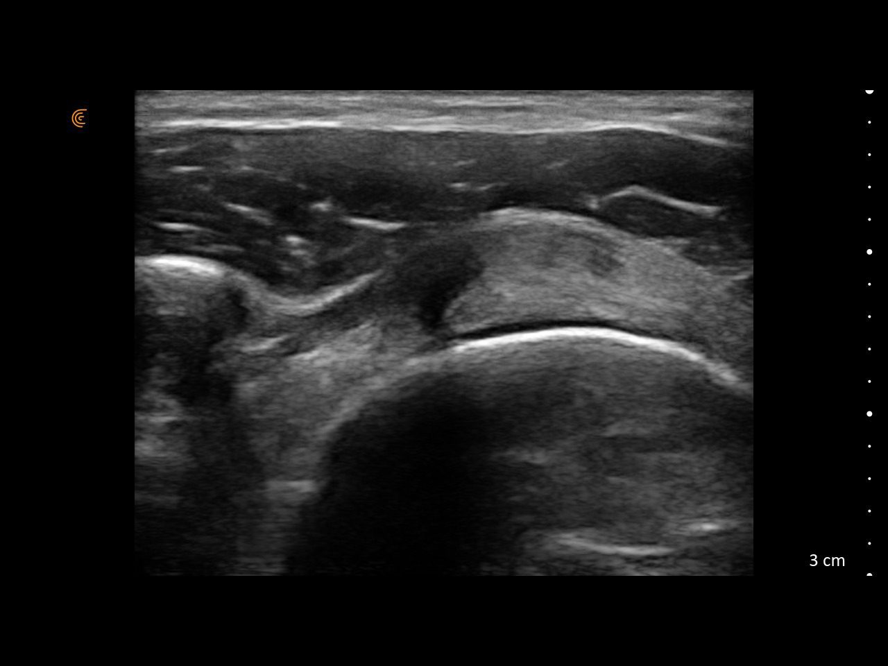
Procedures Just Got More Precise.
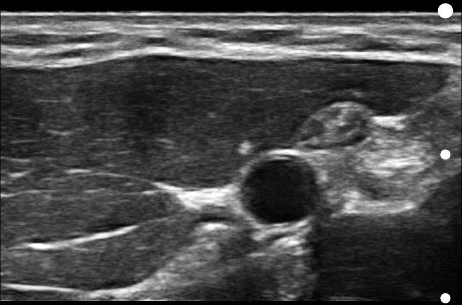
Visualize targets in real time to deliver PRP or cortisone—even in complex joints. Instantly diagnose sprains, tears, and effusions, and make confident decisions about surgical intervention
Get Athletes Back in Action – Faster.
Specialized presets and high resolution provide fast, accurate imaging for athletes’ needs.
Precise Injections. Better Results.
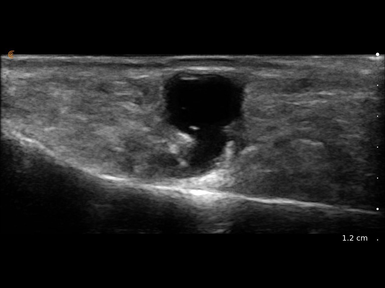
Visualize targets in real time for precise nerve blocks and corticosteroid injections—reducing injectate volumes and boosting safety, confidence, and patient outcomes.
Guide Rehab with Confidence.
Use real-time imaging to assess injuries, monitor recovery, and tailor treatment plans—delivering better outcomes for every patient.
See Inflammation in Real Time.
Assess synovitis, enthesitis, and monitor treatment efficacy with high-resolution ultrasound, enabling precise, real-time joint and soft tissue evaluation, accurate needle guidance, and improved confidence in clinical decision-making.
Guide Every Block with Clarity
From pre-op to PACU, guide safe, accurate blocks and pain interventions without disrupting workflow or sterility.
CLARIUS EXCLUSIVES

The Stella Center
I can show the patient the screen at the same time so that they can see their own anatomy. My patients are well educated about their procedures, so it makes them feel safer.

The Aesthetic Clinique
It’s better for my patients because I can
place fillers exactly where I want and it’s better for my peace of mind because I know I’m performing safe injections every time.

Smileworks
Patients are safer, practitioners are happier, and we can deliver exceptional predictability and safety in our procedures to get better outcomes.
Clarius Classroom supports your success from day one. We make learning easier by offering a simplified handheld ultrasound system and providing free access to tutorials, expert insights, and videos for all skill levels.






Ultrasound-guided procedures and diagnostic scans are reimbursable, helping you deliver better care while supporting your practice revenue.
Now 30% lighter at just 290 grams, Clarius’ wireless design features one-touch imaging optimization and a user-friendly mobile-app design, keeping your focus where it belongs—on your patients


Trusted Worldwide. Backed by Experience.
Trusted by clinicians to deliver faster, more confident care.
Countries
Delivering high-performance imaging anywhere.
Clinicians providing better patient care.
Years
Redefining medical imaging to make
healthcare more accessible.
Clarius is the only handheld with a fan, enabling continuous scanning without cooldown breaks.
No. Now 30% lighter than previous generations, Clarius’ 3rd generation scanners match competitive models’ weight within 100 grams while maintaining superior Aesthetics imaging capabilities.
Purpose-built for aesthetic precision: the L20’s 1-4 cm depth range perfectly focuses on facial anatomy where you do not need additional depth, while the L15 handles both facial and body imaging with depths up to 7 cm where you can focus on the detail required for both invasive and non-invasive cosmetic medicine.