Make Ultrasound a Primary Advantage of Your Practice

Clarius brings high-definition imaging and smart tools right to the bedside, helping you make confident decisions and treat without leaving the exam room.

Specialized Presets for Primary Care

Deliver answers in seconds with 15+ optimized presets for common conditions—like gallstones, pleural effusion, and urinary retention. No manual adjustments required.

Intuitive App

An easy-to-use interface that streamlines your workflow—so you can focus on patients, even on your busiest days.

Clarius Cloud

Secure, HIPAA-compliant storage for your ultrasound exams. Review images, generate reports, and share results from any device.

Enhance Your Physical Exam with Clarius.

Point-of-Care Ultrasound brings confidence, clarity, and connection to every exam. 92%1 of patients say it improves their experience, and 95%1 believe it leads to better care.

For your clinic, that means:

  • Stronger patient trust and retention
  • New revenue opportunities
  • A reputation for innovation and excellence

  1. Andersen CA, Brodersen J, Rudbæk TR, Jensen MB. Patients’ experiences of the use of point-of-care ultrasound in general practice – a cross-sectional study. BMC Fam Pract. 2021 Jun 18;22(1):116. doi: 10.1186/s12875-021-01459-z. PMID: 34144701; PMCID: PMC8214303.

Wireless. Purpose-Built. Easy to Use.

Size & Weight
146 x 76 x 32 mm
308g
148 x 76 x 32 mm
307g
Housing
Magnesium shell
Rubber grip
Durability
Waterproof (IP67)
1m Drop tested
Controls
2 Programmable buttons
Scanner
2-6 MHz
40 cm max depth
1-15 MHz
40 cm max depth

Portable & Wireless.

No fragile cables to break

Maintain a sterile field – ideal for procedures

Easy to move between exam rooms or take bedside/in-field

What You Can Diagnose in Minutes.

Quickly assess gallbladder to identify gallstones and perform a quick abdominal aorta scan to rule out AAA – no need to send patients for external imaging.

Detect pleural effusion, pneumonia, or signs of heart failure. Evaluate ejection fraction and IVC collapsibility to better manage CHF patients.

Identify kidney stones or hydronephrosis, at the point of care, streamlining care and avoiding delays in diagnosis.

Improve accuracy and confidence for in-office procedures like IV placement, joint injections, cyst and abscess drainage, biopsies, and foreign body removal.

Evaluate lumps and bumps, muscle tears, and fluid in joints or soft tissues, without referring out.

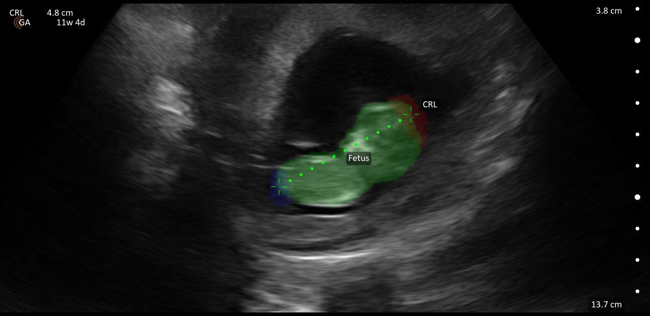
Confirm fetal viability, estimate gestational age, or confirm IUD position during patient visits.

Assess for DVT and guide peripheral vascular IV placement or injections, improving success rates and minimizing complications.

Trusted by Clinicians WorldwideFaster Answers. Fewer Visits. Happier Patients.

Anish P. Keshwani, MD
Family Medicine, Obstetrics and Gynecology

I feel more confident with my ultrasound exams since I’ve started using OB Al. I love how the Al makes the app light up when things are perfectly lined up – I can see this really helping both seasoned clinicians and those who are starting their ultrasound journey.

Dr. Virginia Robinson, MD
Primary Care / Rural Medicine

Handheld ultrasound has made an incredible difference to rural physicians where we don’t have CT scans, where we don’t have diagnostic ultrasound, and it has really leveled the playing field in terms of rural patients receiving the same level of care that you can get in the city,” she explains. “Ultrasound has helped me save lives. It gives me the joy of diagnostic certainty so I can treat patients immediately.

Dr. MJ Rowland-Warmann, BSc, BDS
Smileworks

Patients are safer, practitioners are happier, and we can deliver exceptional predictability and safety in our procedures to get better outcomes.

Make Every Exam More Complete With Clarity You Can See

Ultrasound Made Easy

Clarius Classroom supports your success from day one. We make learning easier by offering a simplified handheld ultrasound system and providing free access to tutorials, expert insights, and videos for all skill levels. 

Effortlessly Light, Intuitively Powerful

Now 30% lighter at just 308 grams, Clarius’ wireless design features one-touch imaging optimization and a user-friendly mobile-app design, keeping your focus where it belongs—on your patients

On-Demand Webinars

Trusted Worldwide. Backed by Experience.

Over 7 Million Ultrasound Scans

Trusted by clinicians to deliver faster, more confident care.

70+

Countries
Delivering high-performance imaging anywhere.

Trusted by
35,000+

Clinicians providing better patient care.

10+

Years
Redefining medical imaging to make
healthcare more accessible.

Frequently Asked Questions

Clarius is designed for ease of use, making it ideal for clinicians new to ultrasound.
AI-powered automation, exam-specific presets, and T-Mode™ imaging help you quickly identify anatomy and capture clear images with minimal training.

Getting started is simple with Clarius. We offer in-app tutorials, clinical education through Clarius Classroom, and live onboarding support. Our team is here to ensure you are confident and comfortable scanning from day one.

Yes. Every Clarius scanner comes with unlimited user licenses. Your entire care team can securely log in, scan, and access patient exams—ideal for group practices and collaborative care.