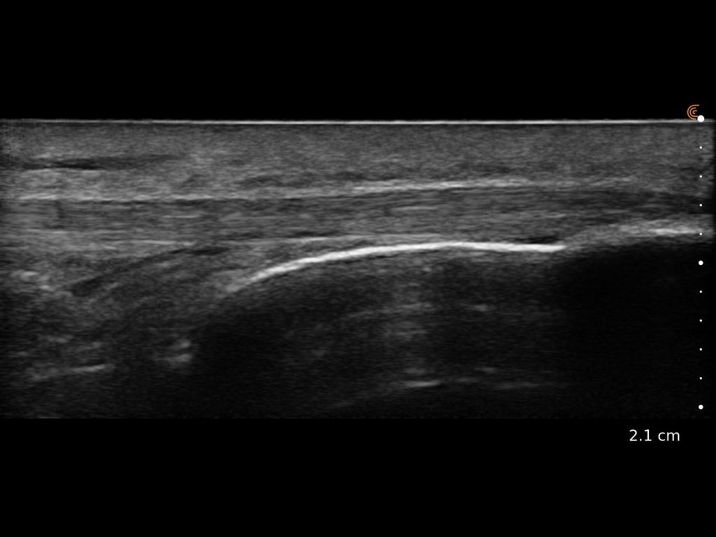
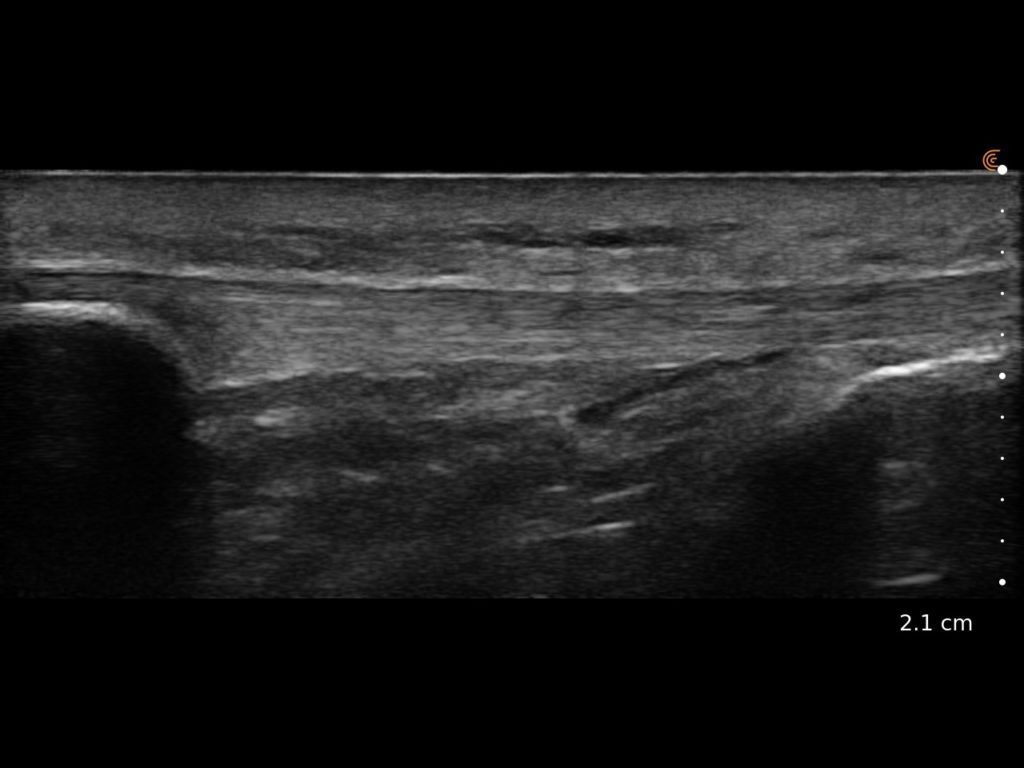
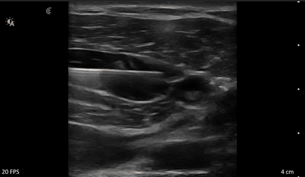
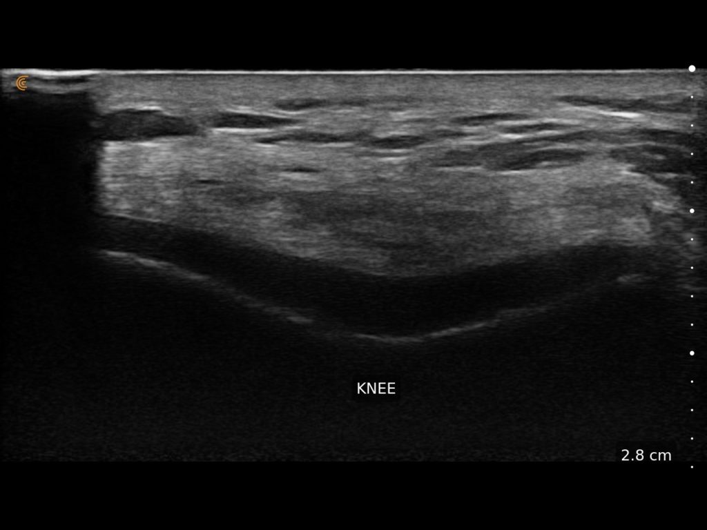
Clarius HD3 is the ideal wireless ultrasound scanner for musculoskeletal (MSK) imaging and procedural guidance. Make a confident diagnosis with high-resolution imaging of muscles, joints, ligaments, tendons, and cartilage both at rest and in motion.
What I like about Clarius is that it is an excellent ultrasound that allows me to have versatility, quality and precision.













































