High-definition ultrasound to diagnose injuries, guide procedures, and deliver confident care – without the wait.
Gain More Insights.
Deliver Better, More Confident Procedures
From first injury to full recovery, Clarius delivers the imaging and guidance you need – wherever you practice.
Procedures Just Got More Precise.
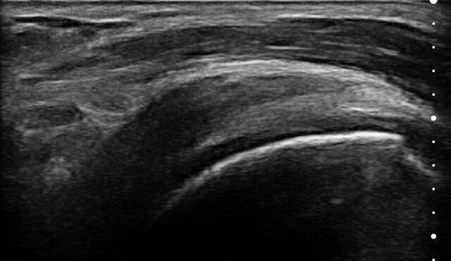
Visualize targets in real time to deliver PRP or cortisone—even in complex joints. Instantly diagnose sprains, tears, and effusions, and make confident decisions about surgical intervention
Get Athletes Back in Action – Faster.
Specialized presets and high resolution provide fast, accurate imaging for athletes’ needs.
Precise Injections. Better Results.
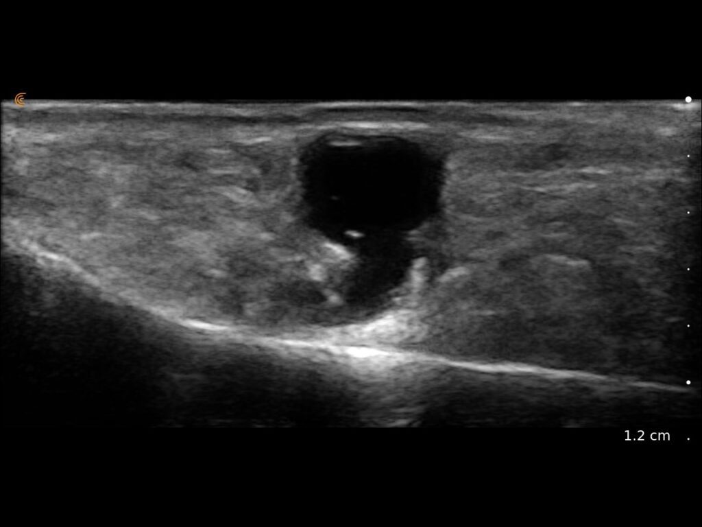
Visualize targets in real time for precise nerve blocks and corticosteroid injections—reducing injectate volumes and boosting safety, confidence, and patient outcomes.
Guide Rehab with Confidence.
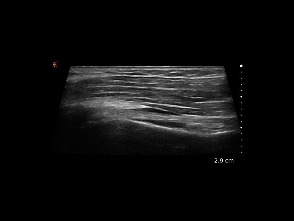
Use real-time imaging to assess injuries, monitor recovery, and tailor treatment plans—delivering better outcomes for every patient.
See Inflammation in Real Time.
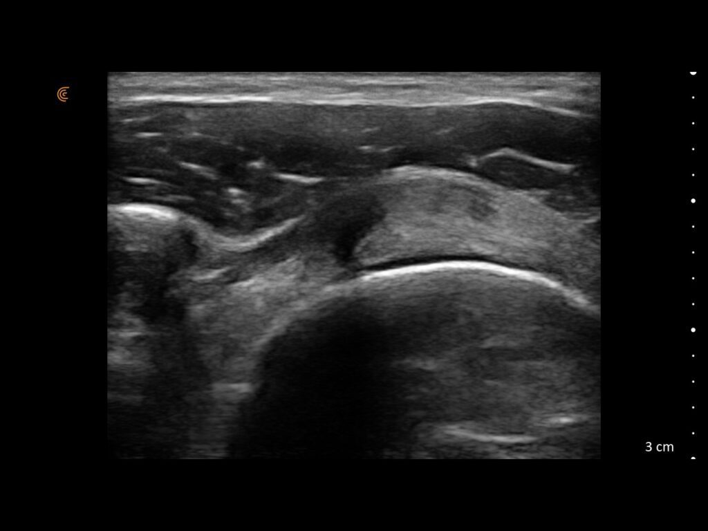
Assess synovitis, enthesitis, and monitor treatment efficacy with high-resolution ultrasound, enabling precise, real-time joint and soft tissue evaluation, accurate needle guidance, and improved confidence in clinical decision-making.
Guide Every Block with Clarity
From pre-op to PACU, guide safe, accurate blocks and pain interventions without disrupting workflow or sterility.
CLARIUS EXCLUSIVES
Why Clarius is Built for MSK
Wireless. Purpose-Built. Easy to Use.
290g
290g
Rubber grip
1m Drop tested
7 cm max depth
15 cm max depth
Trusted by Clinicians Worldwide

Dr. Frank Johnson, MD, Dip. Sports Med. RMSK
Sports Medicine Ultrasound
It can see that first two and a half to three centimeters exceptionally well. There are other machines out there on the market that we could call kind of an all-in-one, that can be everything to everybody, but we all know that’s a fantasy. The L15 HD3 is perfect for sports medicine.

Dr. Don Buford, MD, FAAOS, RMSK
MSK Ultrasound and Regenerative Medicine
For a physician who has a sports medicine, orthopedic, or physiatry practice. It’s an advanced device at an entry-level price, and that’s rare. Traditionally, there’s been a direct correlation between the money you spend and the image quality you get on laptop machines ranging from $28K to 60K+ USD. Now, with Clarius, for about 5K USD all-in, you’ll get a device with the image quality you need that will carry you all the way through your orthopedic career.

Dr. Greg Fritz, PT, DPT, RMSK
EchoHealth MSK Imaging
I am thankful that Clarius has brought this level of advanced quality imaging to an ultrasound device that is affordable for clinicians like me. Here’s to a future with greater, more relevant tissue diagnostic information to the fingertips of more and more POC clinicians.
Ultrasound Made Easy
Clarius Classroom supports your success from day one. We make learning easier by offering a simplified handheld ultrasound system and providing free access to tutorials, expert insights, and videos for all skill levels.
Billable MSK Exams.
Ultrasound-guided procedures and diagnostic scans are reimbursable, helping you deliver better care while supporting your practice revenue.
Now 30% lighter at just 290 grams, Clarius’ wireless design features one-touch imaging optimization and a user-friendly mobile-app design, keeping your focus where it belongs—on your patients


On-Demand Webinars
Peer-Reviewed Evidence for Ultrasound
Trusted Worldwide. Backed by Experience.
Over 7 Million Ultrasound Scans
Trusted by clinicians to deliver faster, more confident care.
70+
Countries
Delivering high-performance imaging anywhere.
Trusted by
35,000+
Clinicians providing better patient care.
10+
Years
Redefining medical imaging to make
healthcare more accessible.
Book a Virtual Demo
Powered by AI with specialized presets and customizable workflows, Clarius HD3 automatically optimizes imaging to deliver a superior ultrasound scanning experience. Book a virtual demo with our experts to learn which scanner can deliver the best ultrasound imaging for your practice.
⚠️ Clarius ultrasound is for medical professionals only.
By providing my email, I consent to receive Clarius webinar invitations, case studies, whitepapers, and more, and I consent to the Clarius Privacy Policy. I can unsubscribe anytime.
Frequently Asked Questions
Clarius is the only handheld with a fan, enabling continuous scanning without cooldown breaks.
No. Now 30% lighter than previous generations, Clarius’ 3rd generation scanners match competitive models’ weight within 100 grams while maintaining superior Aesthetics imaging capabilities.
Purpose-built for aesthetic precision: the L20’s 1-4 cm depth range perfectly focuses on facial anatomy where you do not need additional depth, while the L15 handles both facial and body imaging with depths up to 7 cm where you can focus on the detail required for both invasive and non-invasive cosmetic medicine.




































