
Clarius brings high-definition imaging and smart tools right to the bedside, helping you make confident decisions and treat without leaving the exam room.
Clarius brings high-definition imaging and smart tools right to the bedside, helping you make confident decisions and treat without leaving the exam room.
CLARIUS EXCLUSIVES
Deliver answers in seconds with 15+ optimized presets for common conditions—like gallstones, pleural effusion, and urinary retention. No manual adjustments required.
An easy-to-use interface that streamlines your workflow—so you can focus on patients, even on your busiest days.
Secure, HIPAA-compliant storage for your ultrasound exams. Review images, generate reports, and share results from any device.




Point-of-Care Ultrasound brings confidence, clarity, and connection to every exam. 92%1 of patients say it improves their experience, and 95%1 believe it leads to better care.
For your clinic, that means:
Quickly assess gallbladder to identify gallstones and perform a quick abdominal aorta scan to rule out AAA – no need to send patients for external imaging.
Detect pleural effusion, pneumonia, or signs of heart failure. Evaluate ejection fraction and IVC collapsibility to better manage CHF patients.
Identify kidney stones or hydronephrosis, at the point of care, streamlining care and avoiding delays in diagnosis.
Improve accuracy and confidence for in-office procedures like IV placement, joint injections, cyst and abscess drainage, biopsies, and foreign body removal.
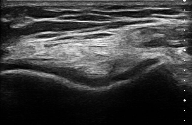
Evaluate lumps and bumps, muscle tears, and fluid in joints or soft tissues, without referring out.
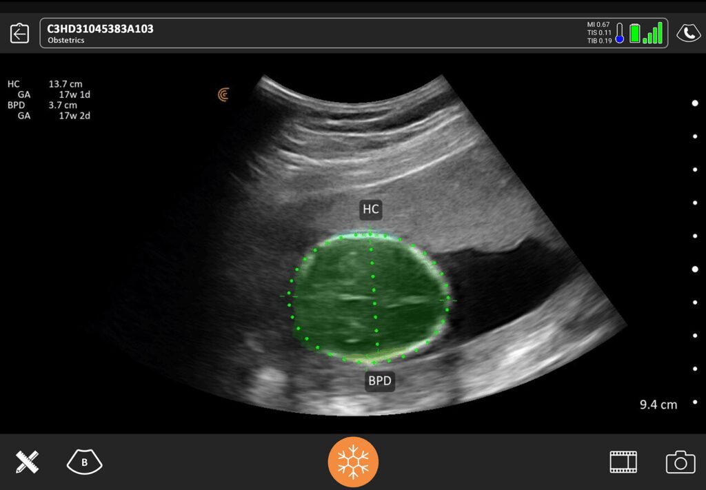
Confirm fetal viability, estimate gestational age, or confirm IUD position during patient visits.
Assess for DVT and guide peripheral vascular IV placement or injections, improving success rates and minimizing complications.

Dr. Virginia Robinson, MD
Primary Care / Rural Medicine
Handheld ultrasound has made an incredible difference to rural physicians where we don’t have CT scans, where we don’t have diagnostic ultrasound, and it has really leveled the playing field in terms of rural patients receiving the same level of care that you can get in the city,” she explains. “Ultrasound has helped me save lives. It gives me the joy of diagnostic certainty so I can treat patients immediately.

Dr. Shane Arishenkoff, MD, FRCPC
Internal Medicine
With no cords and portable size, the Clarius device will be very easy to bring to the bedside and to go from one patient to the next. I’m impressed with the ability to use the convex transducer as a phased array to capture very good cardiac images. It’s convenient to use one scanner for the abdomen, lungs and the heart.

Anish P. Keshwani, MD
Family Medicine, Obstetrics and Gynecology
I feel more confident with my ultrasound exams since I’ve started using OB Al. I love how the Al makes the app light up when things are perfectly lined up – I can see this really helping both seasoned clinicians and those who are starting their ultrasound journey.
Clarius Classroom supports your success from day one. We make learning easier by offering a simplified handheld ultrasound system and providing free access to tutorials, expert insights, and videos for all skill levels.






Now 30% lighter at just 308 grams, Clarius’ wireless design features one-touch imaging optimization and a user-friendly mobile-app design, keeping your focus where it belongs—on your patients


Trusted Worldwide. Backed by Experience.
Trusted by clinicians to deliver faster, more confident care.
Countries
Delivering high-performance imaging anywhere.
Clinicians providing better patient care.
Years
Redefining medical imaging to make
healthcare more accessible.
Powered by AI with specialized presets and customizable workflows, Clarius HD3 automatically optimizes imaging to deliver a superior ultrasound scanning experience. Book a virtual demo with our experts to learn which scanner can deliver the best ultrasound imaging for your practice.
⚠️ Clarius ultrasound is for medical professionals only.
By providing my email, I consent to receive Clarius webinar invitations, case studies, whitepapers, and more, and I consent to the Clarius Privacy Policy. I can unsubscribe anytime.
Clarius is designed for ease of use, making it ideal for clinicians new to ultrasound.
AI-powered automation, exam-specific presets, and T-Mode™ imaging help you quickly identify anatomy and capture clear images with minimal training.
Getting started is simple with Clarius. We offer in-app tutorials, clinical education through Clarius Classroom, and live onboarding support. Our team is here to ensure you are confident and comfortable scanning from day one.
Yes. Every Clarius scanner comes with unlimited user licenses. Your entire care team can securely log in, scan, and access patient exams—ideal for group practices and collaborative care.