High-definition ultrasound imaging with specialized tools for safer procedures and superior results.
290g
Rubber Grips
1m Drop tested
4 cm max depth
High-definition ultrasound imaging with specialized tools for safer procedures and superior results.
Clarius L20 HD3 earned the top image quality ranking in an independent study by the University of Southern California that directly compared Clarius to the competition.*
Clarius’ T-Mode flattens the learning curve with labeling and graphics to help you confidently use ultrasound in your aesthetic procedures and patient consultations.
CLARIUS EXCLUSIVE
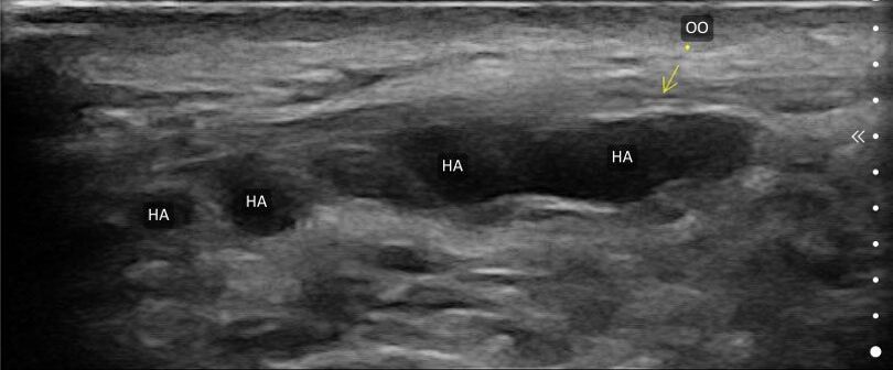
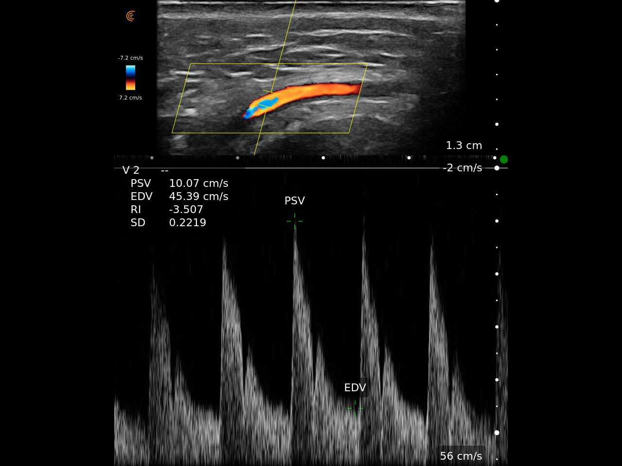
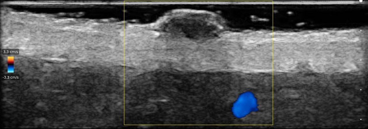
Transform consultations with Clarius’ 20 MHz ultrasound. Reveal precise facial vessel locations and depths for safer, personalized treatment plans that minimize risks.
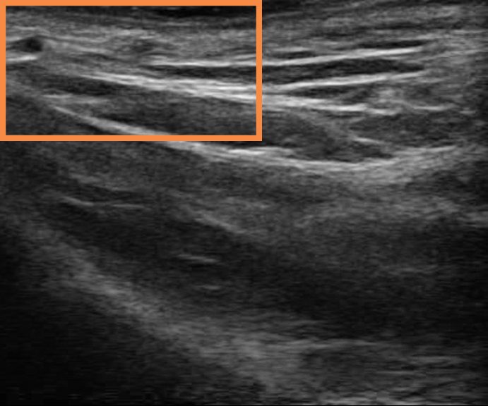
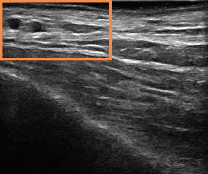
Clarius 20MHz high-definition ultrasound reveals details such as all 12 temple layers and the critical structures around the nose, ensuring precise injections in the correct anatomical plane.
Michael G Alfertshofer, Konstantin Frank, Denis Ehrl, David L Freytag, Nicholas Moellhoff, Robert H Gotkin, Samir Mardini, Katie Beleznay, Arthur Swift, Sebastian Cotofana, The Layered Anatomy of the Nose: An Ultrasound-Based Investigation, Aesthetic Surgery Journal, Volume 42, Issue 4, April 2022, Pages 349–357, https://doi.org/10.1093/asj/sjab310
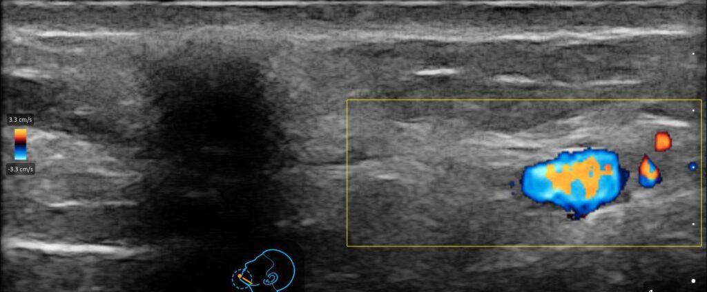
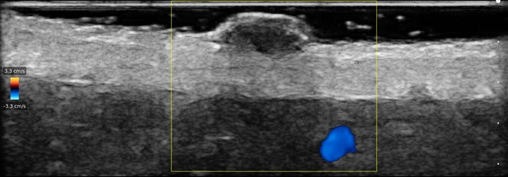
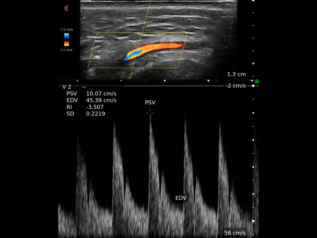
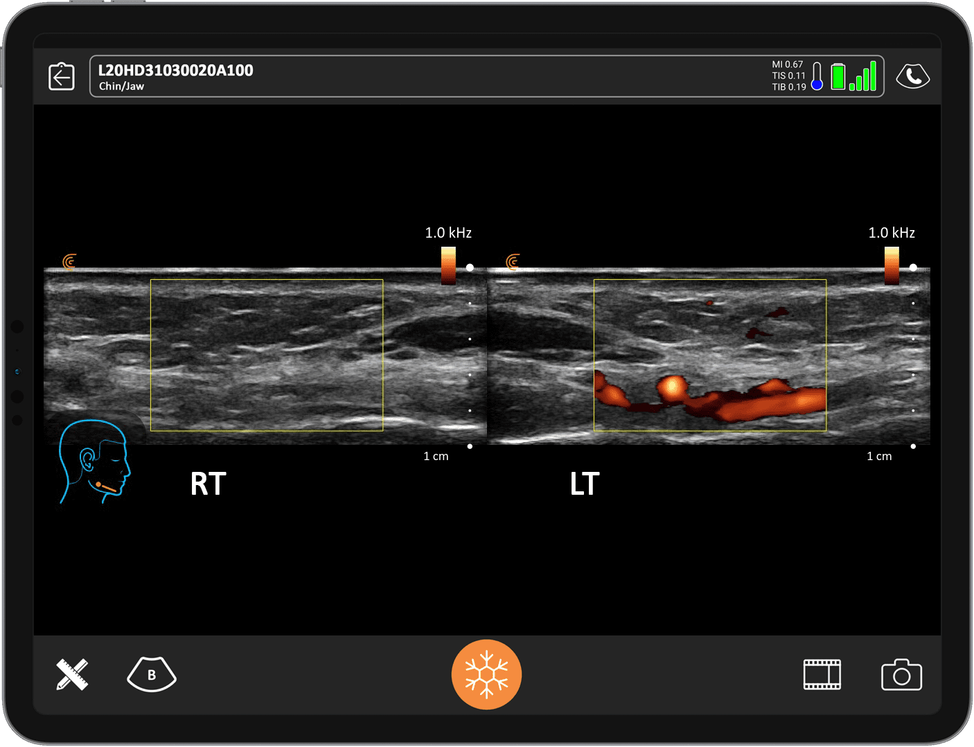
Build patient trust by confirming blood flow with Clarius—the only handheld ultrasound offering sensitive power doppler.
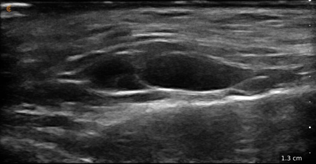
Visualize the dermis, SMAS, and subcutaneous tissue to get the best results. See the difference with high-definition ultrasound.
Easily differentiate between fat, muscle, and tissue to select the best contouring or fat targeting HIFU cartridges. Only Clarius gives you the tools to easily identify, measure, and track patient’s progress over time.
Reassure clients with Clarius’ 20 MHz and advanced Doppler tools, including color, power, and pulsed wave for accurate assessment of vascular complications.
Use up to 3x less hyaluronidase and help patients see results faster by using ultrasound to guide injections.
Wilde, C. L., Jiang, K., Lee, S., & Ezra, D. G. (2024). The Posthyaluronidase Syndrome: Dosing Strategies for Hyaluronidase in the Dissolving of Facial Filler and Independent Predictors of Poor Outcomes. Plastic and Reconstructive Surgery-Global Open, 12(4), e5765. https://doi.org/10.1097/GOX.0000000000005765

Founder, UltraSkinUS
It will allow professionals to perform procedures with great efficiency and safety, avoiding problems and avoiding complications. And another aspect to take into account, is that our patients feel much safer, they feel much more cared for.

The Aesthetic Clinique
It’s better for my patients because I can
place fillers exactly where I want and it’s better for my peace of mind because I know I’m performing safe injections every time.

Smileworks
Patients are safer, practitioners are happier, and we can deliver exceptional predictability and safety in our procedures to get better outcomes.
Clarius Classroom supports your success from day one. We make learning easier by offering a simplified handheld ultrasound system and providing free access to tutorials, expert insights, and videos for all skill levels.
Now 30% lighter at just 290 grams, Clarius’ wireless design features one-touch imaging optimization and a user-friendly mobile-app design, keeping your focus where it belongs—on your patients


Trusted Worldwide. Backed by Experience.
Trusted by clinicians to deliver faster, more confident care.
Countries
Delivering high-performance imaging anywhere.
Clinicians providing better patient care.
Years
Redefining medical imaging to make
healthcare more accessible.
Powered by AI with specialized presets and customizable workflows, Clarius HD3 automatically optimizes imaging to deliver a superior ultrasound scanning experience. Book a virtual demo with our experts to learn which scanner can deliver the best ultrasound imaging for your practice.
⚠️ Clarius ultrasound is for medical professionals only.
By providing my email, I consent to receive Clarius webinar invitations, case studies, whitepapers, and more, and I consent to the Clarius Privacy Policy. I can unsubscribe anytime.
Clarius is the only handheld with a fan, enabling extended scanning beyond an hour for longer procedures
No. Now 30% lighter than previous generations, Clarius’ 3rd generation scanners match competitive models’ weight within 100 grams while maintaining superior Aesthetics imaging capabilities.
Purpose-built for aesthetic precision: the L20’s 1-4 cm depth range perfectly focuses on facial anatomy where you do not need additional depth, while the L15 handles both facial and body imaging with depths up to 7 cm where you can focus on the detail required for both invasive and non-invasive cosmetic medicine.