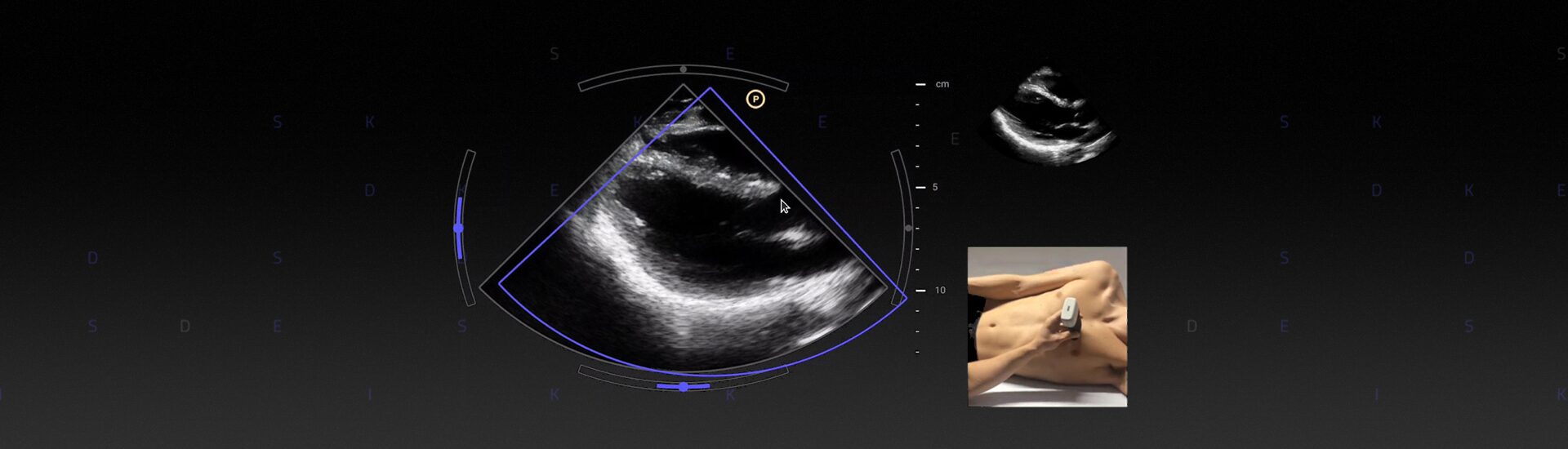
BlogClarius Marketplace Spotlight: How DESKi’s HeartFocus Enables Every Healthcare Professional to Perform a Cardiac Ultrasound ExamView Post
BlogClarius Marketplace Spotlight: How ThinkSono AI Makes Ultrasound Imaging Quickly Accessible for NovicesView Post