See more. Know more. Do more.
Experience the next generation of smart scanning.
Experience the next generation of smart scanning.


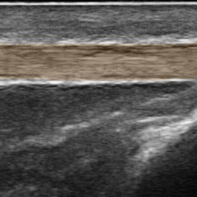
Ultrasound mastery takes years – until now. T-Mode™ provides real-time visual guidance to help you interpret anatomy, identify layers, and scan with confidence – faster.

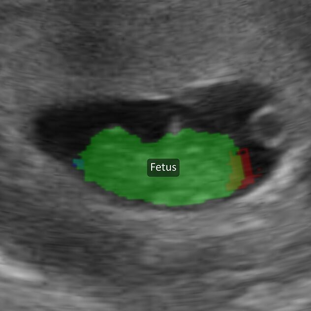
Whether you’re assessing bladder or prostate volume, evaluating gestational age, or locating the median nerve, Clarius Intelligence delivers real-time guidance to support accurate, on-the-spot decisions.
Efficiency that improves patient outcomes.
Clarius Intelligence isn’t just about better imaging – it’s about faster, smarter workflows that help you spend less time scanning and more time treating.
Operate your Clarius wireless scanner hands-free, minimizing the need to optimize imaging parameters manually. Prioritize patient safety and comfort while seamlessly improving workflow.
Now you don’t need to perform an ECG or enable spectral modes to take a manual heart rate measurement. Use your Clarius scanner with Auto Heart Rate and Allow AI to display the heart rate in real-time.

While scanning with Clarius, every ultrasound frame is automatically analyzed to determine if the image brightness requires an increase or decrease depending on the workflow and depth selected to deliver the best image quality.
Use Vessel Depth AI to automatically display the depth of the shallowest color or power Doppler flow signal in real-time. So, you can keep your hands free to focus on your patient and the procedure.
Powered by AI with specialized presets and customizable workflows, Clarius HD3 automatically optimizes imaging to deliver a superior ultrasound scanning experience. Book a virtual demo with our experts to learn which scanner can deliver the best ultrasound imaging for your practice.
⚠️ Clarius ultrasound is for medical professionals only.
By providing my email, I consent to receive Clarius webinar invitations, case studies, whitepapers, and more, and I consent to the Clarius Privacy Policy. I can unsubscribe anytime.