Since purchasing the Clarius HD L7 handheld ultrasound earlier this year, Dr. Antoni Roldan cannot imagine practicing without it.
“Clarius is a powerful and amazing tool that delivers confidence to the surgeon. I don’t need to just imagine what is going on beneath the skin. I can see it clearly in great detail. My patients also like to watch the exam as I scan.”
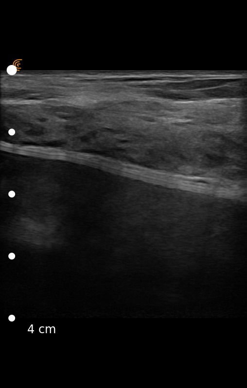
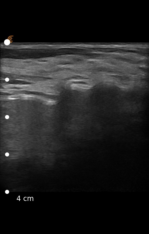
According to the FDA, ultrasound is an indispensable tool for plastic surgeons, for example, to regularly screen patients to detect silent ruptures.1 Dr. Roldan agrees. He recently shared ultrasound images captured on a patient with a ruptured silicon gel breast implant using the Clarius L7 HD Scanner. Can you identify the ruptured implant?


The right image clearly shows the stepladder sign, which are horizontally stacked echogenic lines traversing through the implant. Dr. Roldan confirmed the intracapsular rupture during the explantation surgery. The left ultrasound image includes a normal scan of the left breast.
You can view 6 additional images on Clarius Cases.
Ultrasound in Daily Practice
Beyond breast implant surgery and annual check-up visits, Dr. Roldan has been using Clarius for multiple applications including:
- Ruling out issues such as seromas,
- Testing the absence of an abdominal hernia and the rectus diastasis before a liposuction or tummy tuck lipectomy,
- Assessment of glandular tissue in a gynecomastia, and
- Measuring the absorption of a fat grafting in any location in the postop period.

Dr. Roldan is also a fan of Clarius Cloud. “I can store all my exams and it’s simple for me to share them with other colleagues. I also like reviewing the many educational cases that are published on Clarius Cases.
About Clarius for Plastic Surgery
Clarius HD has fast become the leading ultrasound scanner among plastic surgeons to visualize patient anatomy, for real-time diagnostics and to safely guide surgical procedures. Why? Clarius is wireless, ultra-portable, but more importantly, it offers best-in-class image quality to confidently perform quick exams, visual confirmations, and interventional procedures.
As Dr. Roldani uses ultrasound for more than breast imaging, he chose to purchase the Clarius L7 HD, which is ideal for performing deep and superficial procedures.
The Clarius L15 HD is the optimal choice for physicians focused on diagnostic and interventional breast procedures. Clarius has designed a Breast Performance Package with Hologic, which has dedicated breast presets for diagnostic and interventional breast procedures.
Feeling curious about the advantages of wireless ultrasound? Learn more about Clarius HD for plastic surgeons here.













