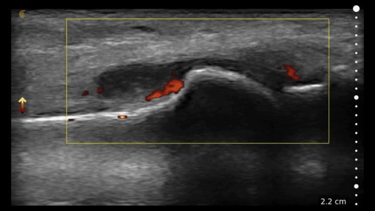
Dr. Alan Hirahara performs an intra-articular hyaluronic acid injection using ultrasound guidance to bring pain relief to a patient suffering from degenerative joint disease in her knees. Suprapatellar access to the knee joint space provides easy and painless entry even without a joint effusion present.
Clarius Classroom
Suprapatellar Injection of the Knee
Dr. Alan M Hirahara, MD, FRCSC
Products Used
More Classes
Request a Quote
With 8 scanners available, we offer a wireless ultrasound solution tailored to your needs. Request a quote to discover which scanner can deliver the best ultrasound imaging for your practice.
⚠️ Clarius ultrasound is for medical professionals only.
By providing my email, I consent to receive Clarius webinar invitations, case studies, whitepapers, and more, and I consent to the Clarius Privacy Policy. I can unsubscribe anytime.
