Optimiser l’Imagerie pour MSK
It gives me the confidence that I’m actually hitting the structures that I’m intending to hit.”
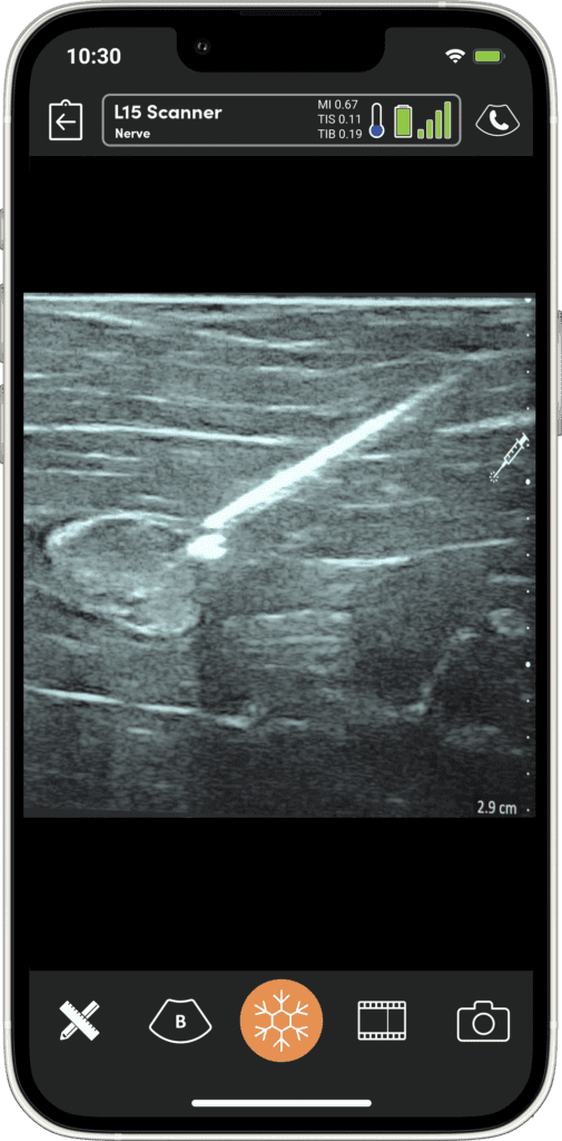
Optimiser l’Imagerie pour MSK








Explorez les fonctionnalités avancées disponibles avec votre abonnement pour favoriser la collaboration et rationaliser vos flux de travail.






Gardez les mains libres en demandant à votre échographe de se figer, de régler la profondeur et le gain, de capturer des images et d’enregistrer des vidéos, et bien plus encore !
Partagez votre examen avec un collègue en temps réel, en un clic, grâce à ce dispositif de télémédecine.
Partagez un examen terminé avec un collègue depuis l’Application ou le Clarius Cloud.
Mesurez et visualisez les informations clés du flux à travers une interface simple et intuitive.
Enregistrez des procédures entières à des fins de documentation.
Profitez de la possibilité d’afficher à la fois l’axe long et l’axe court ou encore de comparer l’anatomie gauche avec l’anatomie droite.
It gives me the confidence that I’m actually hitting the structures that I’m intending to hit.”
I see myself with patients being able to begin to give them answers a little bit quicker… but more importantly to confirm my own diagnostic assumptions or predictions”
T-Mode is providing a wonderful option in the curriculum right now. We’re able to cover more structures in a timely manner. »
With AI, they’re not going to miss anything. They’re still going to be able to find structures. It’s just I wish I had it when I learned.”
« I got my own ultrasound because I was amazed at the gift that that was to both our profession and for patients »
It really helps clients understand their body and what’s going on with their body.

Patients are always wowed by seeing the image on the screen



The linear scanner is on par with compact systems, no question. »

Les membres ont accès à toutes les innovations et à tous les services avancés, pour une expérience suprême en matière d’échographie et une maîtrise des ultrasons accélérée.
Profitez d’outils exclusifs basés sur l’IA pour automatiser vos flux de travail, de logiciels spécialisés pour optimiser l’imagerie, d’options de stockage illimité et de ressources pédagogiques pour améliorer vos compétences. Découvrez les quatre piliers de l’abonnement.
Propulsé par l’IA avec des préréglages spécialisés et des flux de travail personnalisables, Clarius HD3 optimise automatiquement l’imagerie pour offrir une expérience d’échographie supérieure. Avec 7 scanners, nous avons une solution d’échographie sans fil parfaite pour vous. Réservez une démonstration virtuelle avec nos experts pour savoir quel scanner peut fournir la meilleure imagerie échographique pour votre cabinet.

Que vous recherchiez une solution spécifique ou que vous ayez besoin d’aide pour trouver le bon scanner pour votre cabinet, nous sommes là pour vous aider. Prenez contact avec nous et commençons !
Que vous recherchiez une solution spécifique ou que vous ayez besoin d’aide pour trouver le bon scanner pour votre cabinet, nous sommes là pour vous aider. Prenez contact avec nous et commençons !