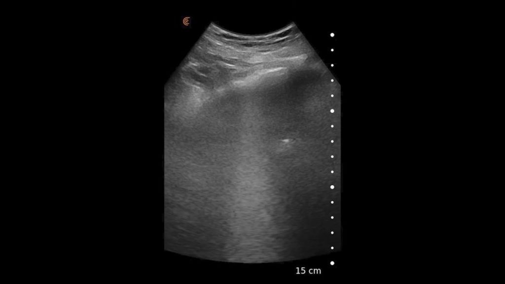
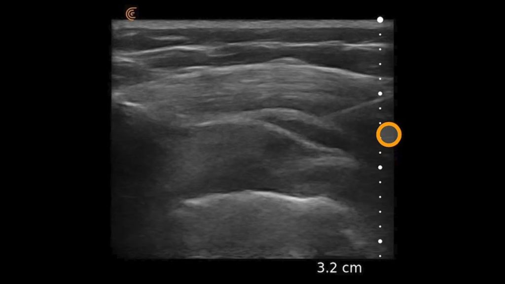
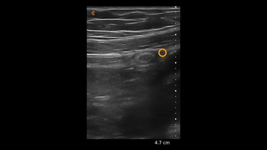
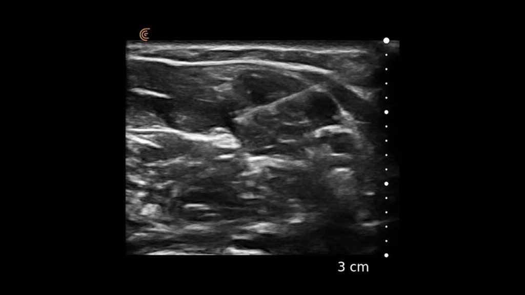
Canine Jejunal Lymph Nodes
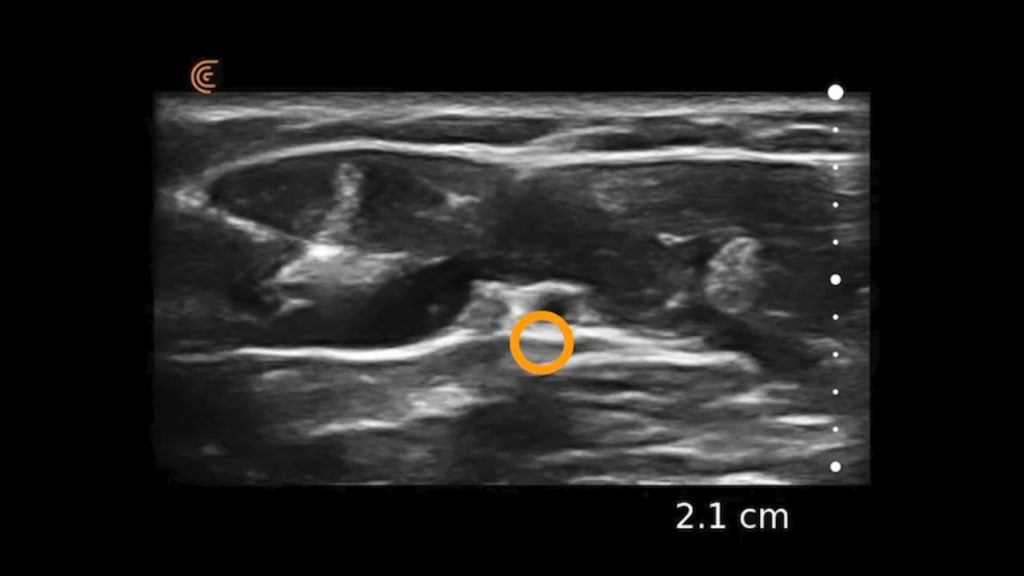
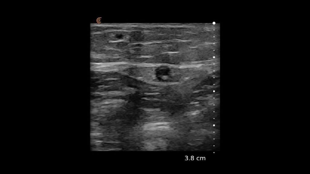
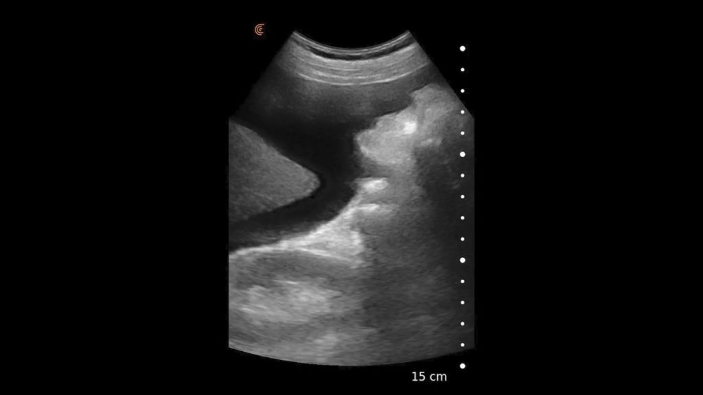
Using the jejunum as an important landmark, the hypoechoic jejunal lymph nodes can be identified. In this video Dr. Edwards explains the ultrasound appearance of normal jejunal nodes.
Using the jejunum as an important landmark, the hypoechoic jejunal lymph nodes can be identified. In this video Dr. Edwards explains the ultrasound appearance of normal jejunal nodes.