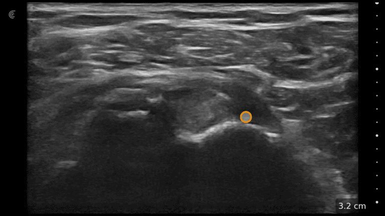
Visualizing the Facial, Superior and Inferior Labial Arteries
Dr. Ines Verner demonstrates how to visualize the facial, superior and inferior labial arteries. High-definition vascular imaging using Color Doppler allows her to visualize the locations and avoid intervascular injections.















