Clarius brings high-definition imaging and specialized tools for plastic surgery to your practice, helping to streamline care and improve outcomes.
Use Ultrasound for Safer and More Effective Plastic Surgery1
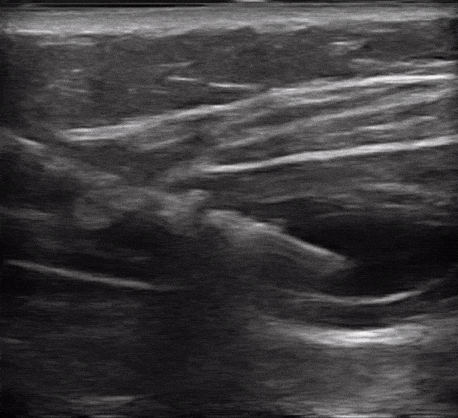
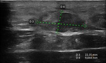
Ultrasound assists in identifying abnormalities, filler, threads, and implants before surgery. It enhances surgical planning and patient safety.
Ultrasound assists in identifying anatomy to ensure the most effective and safe delivery of localized anesthetics.
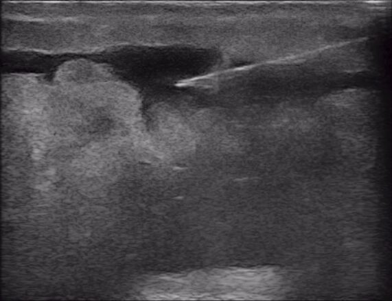
Assess source fat, monitor fat volumes, confirm graft placement, and monitor for complications, all with ultrasound.
From patient assessments, abdominal defect screening, confirmation of fat stores, and monitoring for hematomas or seromas, ultrasound can enhance your patient care.
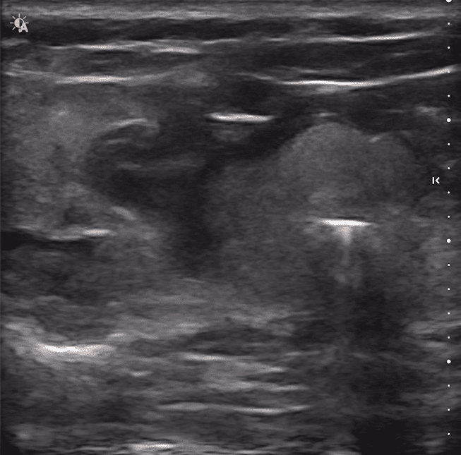
From dissolving fillers, vascular mapping, placing drains, to managing complications, ultrasound can support you at every step of the way.
Using ultrasound to guide filler placement reduces the risk of complications and helps to monitor the filler over time, allowing you to decide when to dissolve or refresh the filler. Color and power Doppler are essential tools for managing vascular complications.
Ultrasound enhances surgical safety by mapping critical anatomy pre-operatively, monitoring tissue perfusion intraoperatively, and detecting post-operative complications.
For quick bedside or in-office assessments.
Maintain patient relationships by offering surveillance services with ultrasound, as recommended by the FDA to begin after 5-7 years and continue monitoring every 2-3 years.
[1] Swanson E. The Expanding Role of Diagnostic Ultrasound in Plastic Surgery. Plast Reconstr Surg Glob Open. 2018 Sep 5;6(9):e1911. doi: 10.1097/GOX.0000000000001911. PMID: 30349786; PMCID: PMC6191221.
CLARIUS EXCLUSIVE
Ultrasound technology tailored for Plastic Surgery
Lightweight. Wireless.
Purpose-Built for Plastic Surgery.
290g
290g
Rubber grip
1m Drop tested
7 cm max depth
15 cm max depth
Portable & Wireless.
Scan On-Site. Fast Answers on the Spot.
Check out examples of how simple Clarius is in practice!
High-definition ultrasound ensures precise injections that exceed patient expectations with uncompromising safety.
For high-stakes repairs, Clarius delivers image quality that builds treatment confidence.
Triage complications to build patient loyalty.




Ultrasound Made Easy with On-Demand Learning
From your first scan to advanced techniques, Clarius Classroom is how we support your success—with free access to videos, tutorials, and expert insights.
Lightweight by Design, Built for Precision
Weighing just 290 grams, Clarius fits comfortably in your hand for long scanning sessions without fatigue. Its compact, cable-free design makes it easy to maneuver around facial contours with precision and control.


Trusted Worldwide. Backed by Experience.
Over 7 Million Ultrasound Scans
Trusted by clinicians to deliver faster, more confident care.
70+
Countries
Delivering high-performance imaging anywhere.
Trusted by
35,000+
Clinicians providing better patient care.
10+
Years
Redefining medical imaging to make
healthcare more accessible.
Frequently Asked Questions
Visualize facial anatomy in real time to map arteries, veins, and critical tissue layers with clarity. Clarius helps you plan and perform injections with confidence, minimizing risk in high-stakes areas.
Visualize facial anatomy in real time to map arteries, veins, and critical tissue layers with clarity. Clarius helps you plan and perform injections with confidence, minimizing risk in high-stakes areas.
Visualize facial anatomy in real time to map arteries, veins, and critical tissue layers with clarity. Clarius helps you plan and perform injections with confidence, minimizing risk in high-stakes areas.
Visualize facial anatomy in real time to map arteries, veins, and critical tissue layers with clarity. Clarius helps you plan and perform injections with confidence, minimizing risk in high-stakes areas.








































